近日,陕中附院超声诊断科成功完成一例超声引导下高难度肝癌(HCC)消融术。
患者史某,女,56岁,入院诊断为“原发性肝癌介入术后”,查甲胎蛋白52.32ng/ml,上腹部MRI:肝右后叶上段肝Ca介入术后,治疗病变凝固坏死显著,治疗病灶上缘异常信号结节,新发病变,考虑小肝癌。肝病一科邀请超声诊断科进行会诊,评估肝脏肿瘤消融治疗可行性。
超声诊断科介入组反复比对MRI所示病灶部位,在二维超声确定病灶位置后行超声造影检查,该结节大小1.7cm×1.6cm,属于LI-RADS-5类,即确诊的HCC。该结节位置凶险,位于肝脏S7段边缘,紧贴下腔静脉和膈肌,想要实现精准完全消融十分困难。怎么办?王涛医师提出“火攻+水攻”的策略:低功率微波消融HCC主体病灶,临近大血管处用聚桂醇液补充化学消融。聚桂醇为血管硬化剂,能破坏肿瘤内血管导致其纤维化,同时不会因为热传导伤及周边重要血管。介入组经过认真研究,制定了完备的手术预案。
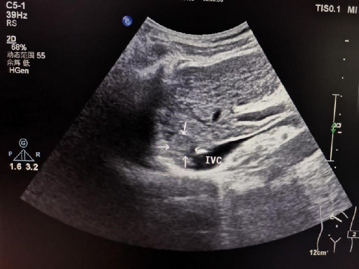
箭头所指病灶紧邻膈肌及下腔静脉
病灶微波消融术前造影,呈高增强

7月8日下午进行手术,超声诊断科主任医师肖迎聪、骆会婷指导,超声造影再次锁定病灶,采用基础麻醉加局麻,王涛徒手进针,当针刺入肝脏时仿佛空气都凝固了,针尖经过肝静脉时用特殊手法顺利避开,缓慢稳定的刺入病灶内,此时消融针已进入肝脏10cm。固定消融针后,再次进入PTC针,由于病灶较小,操作空间更小,第二根针的进入更难,王涛精准操作,成功的将第二针布到肿瘤边缘与下腔静脉的微小间隙当中。开始消融,大家的眼睛都紧盯膈肌与下腔静脉,当肿瘤瞬间变化时及时停止消融,同时PTC针推入2ml聚桂醇立刻拔针,术后即刻超声造影评估消融范围,显示无灌注区完全覆盖肿瘤,下腔静脉、膈肌以及肝静脉未见异常,手术成功。
患者安返病房,术后观察24小时,无异常症状,床旁超声及实验室检查未见异常。
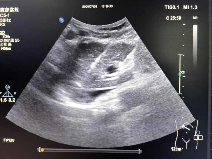
超声实时引导下消融针精准到达病灶
病灶微波消融术后造影,呈无增强
微波消融术就是将一根特制的微波针,经皮穿刺到肿瘤中心区域,在微波针的某一点上含有一个1毫米大小的“微型微波炉”,由它释放的微波磁场可以使周围的分子高速旋转运动并摩擦升温,从而使组织凝固、脱水坏死,达到治疗的目的。
特点:1.直接作用肿瘤,具有高效快速的优势;2.治疗范围局限于肿瘤及其周围组织,对机体影响小,可以多次应用。
适应症:1.单发肿瘤,最大直径≤5cm;或者肿瘤数目≤3个,最大直径≤3cm;2.无脉管癌栓、邻近器官侵犯;3.肝功能分级Child-Pugh A或B级,或经内科治疗达到该标准;4.不能手术切除的直径>5cm的单发肿瘤或最大直径>3cm的多发肿瘤,局部消融可作为姑息性治疗或联合治疗的一部分。
来源:陕中附院官网
责编:戚国华
编审:刘俊程